
Odkryj, jak możemy odmienić Twój uśmiech.
Piękny uśmiech to nie tylko kwestia estetyki, ale także zdrowia i samopoczucia. W naszej klinice stomatologicznej specjalizujemy się w przeprowadzaniu spektakularnych metamorfoz, które nie tylko transformują uśmiechy, ale również zmieniają życie naszych pacjentów. Przyjrzyjmy się bliżej tym niesamowitym przemianom i technologiom, które je umożliwiają.
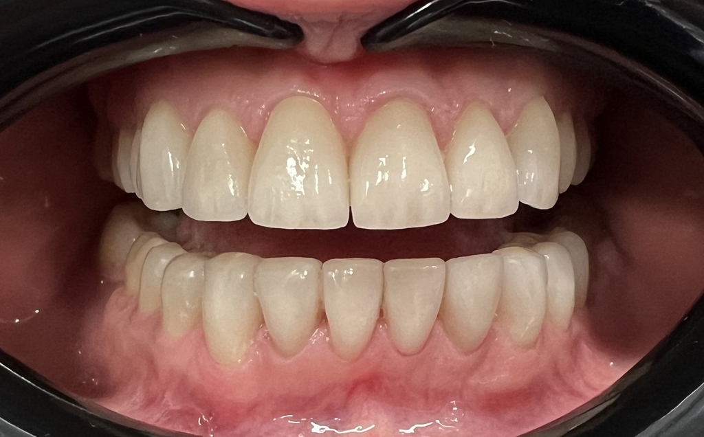
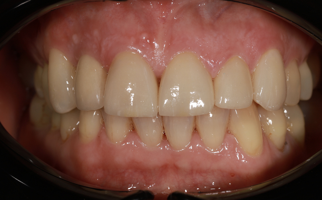
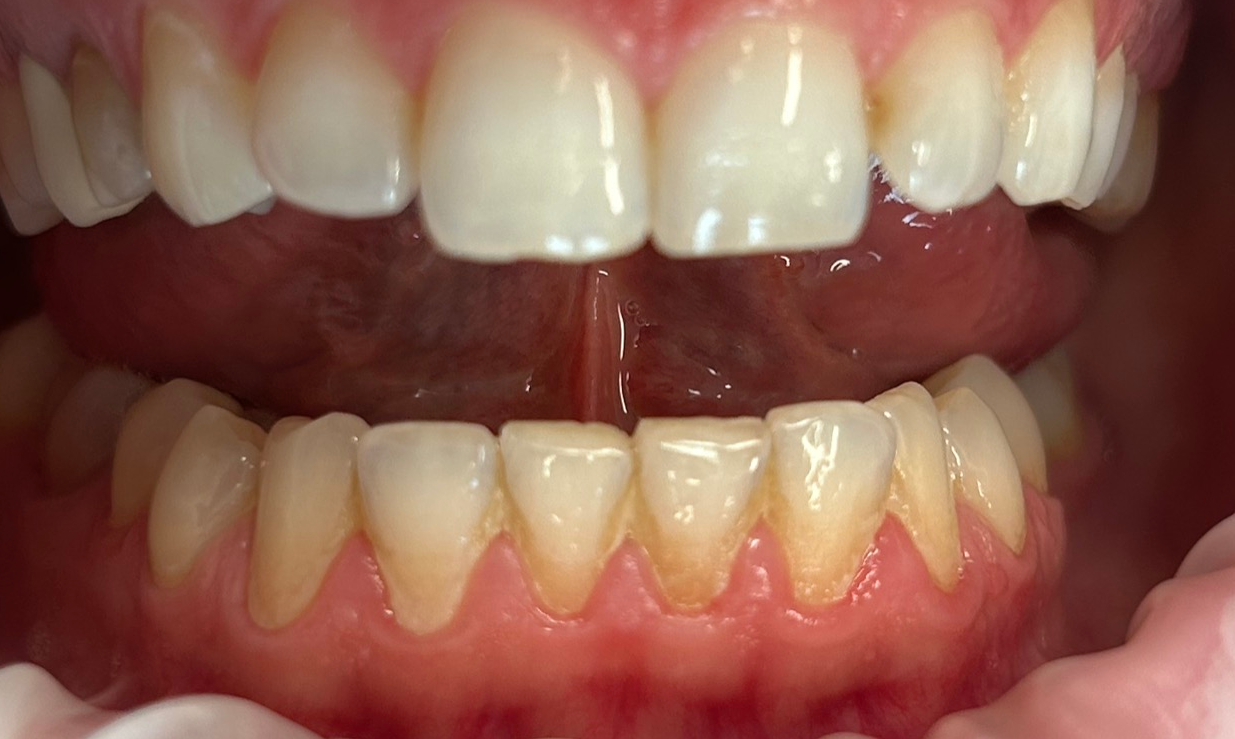
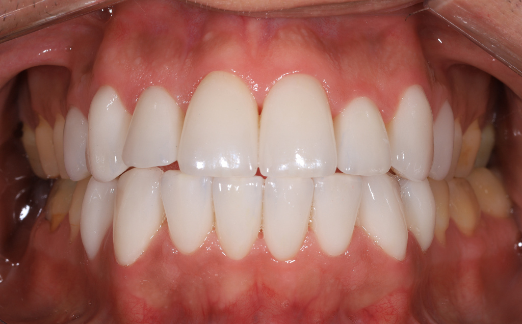
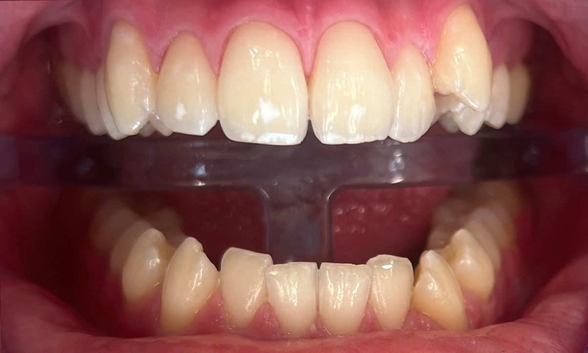
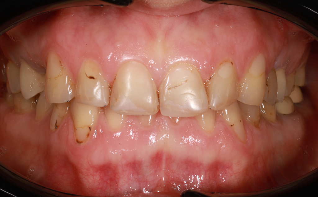
Zaprezentujemy serię poruszających historii pacjentów, którzy zdecydowali się na kompleksowe leczenie dentystyczne. Od przypadków zaawansowanej próchnicy, przez wypadki, które wymagały rekonstrukcji zębów, po pacjentów marzących o hollywoodzkim uśmiechu dzięki zastosowaniu licówek – każda historia jest dowodem na to, jak nowoczesna stomatologia może odmienić życie.
Skupimy się na innowacyjnych technologiach i metodach leczenia stosowanych w naszej klinice, które sprawiają, że te metamorfozy są możliwe. Od cyfrowego projektowania uśmiechu (DSD), przez ortodoncję i implanty, po zaawansowaną chirurgię szczękowo-twarzową. Omówimy, jak te techniki pracują razem, aby osiągnąć najlepsze wyniki.
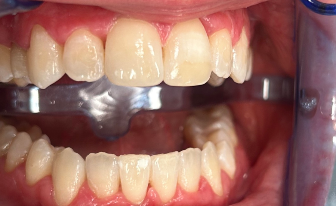
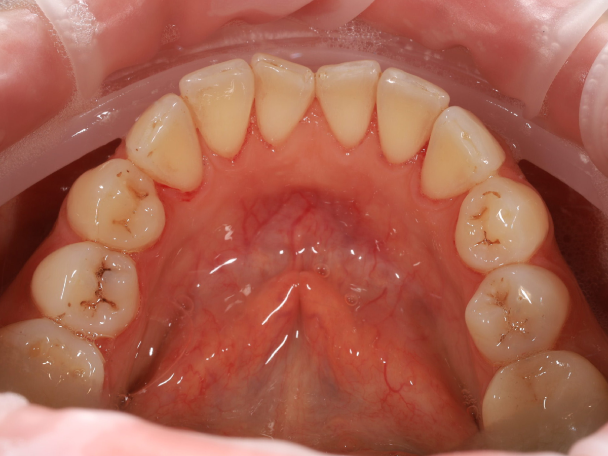
Pełna higienizacja: usunięcie kamienia i osadu (scaling, piaskowanie).
Profesjonalne czyszczenie zębów: scaling, polerowanie i fluoryzacja.
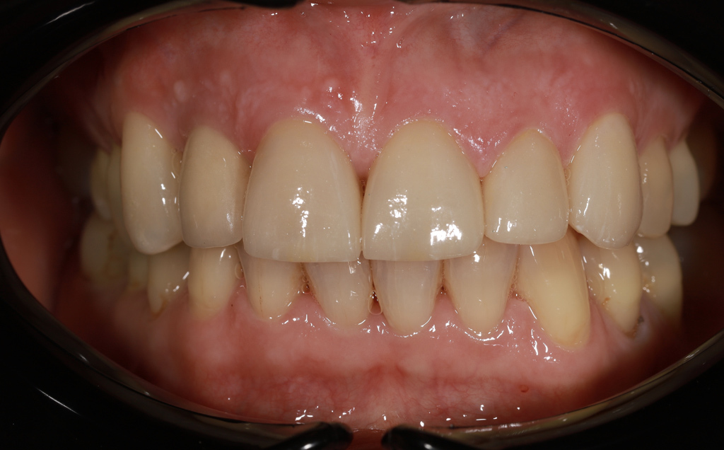
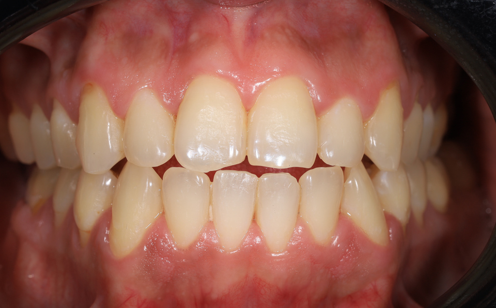
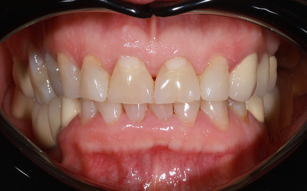
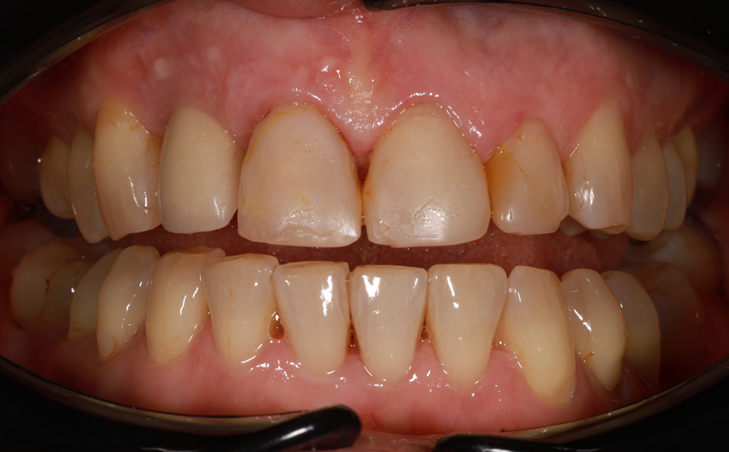
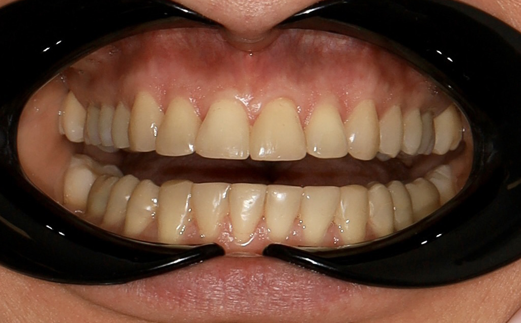
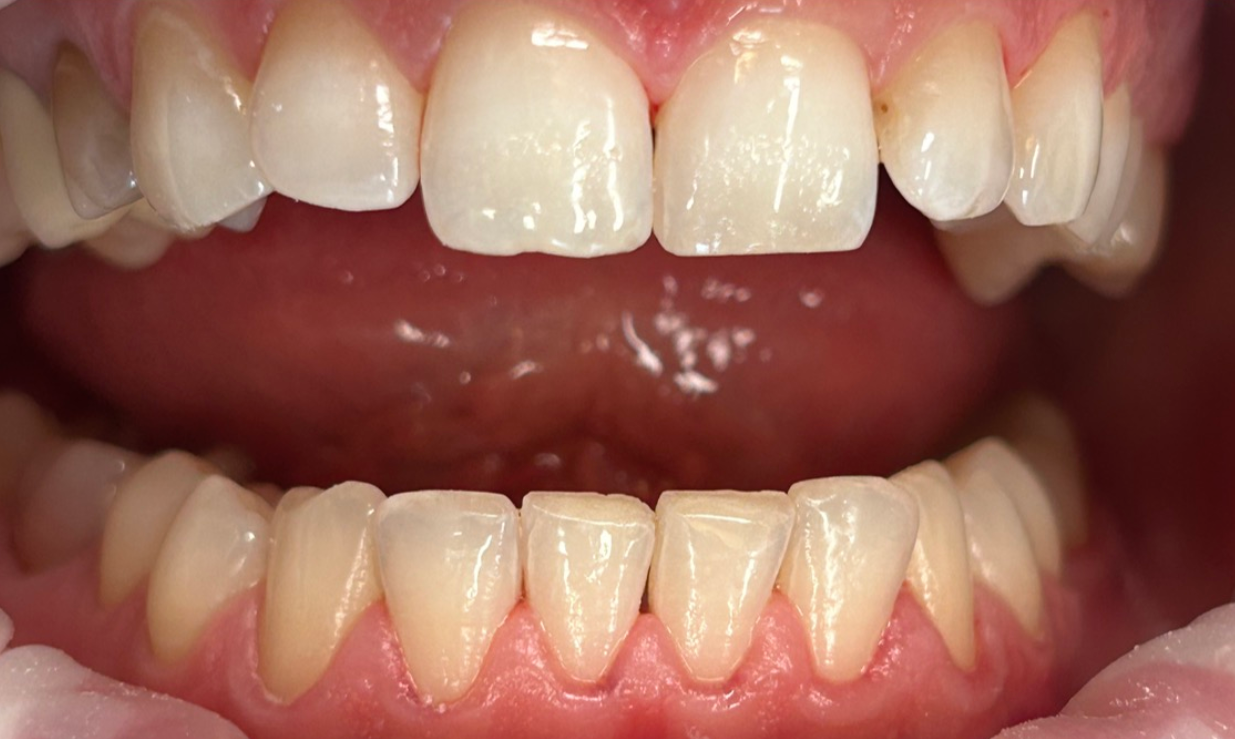
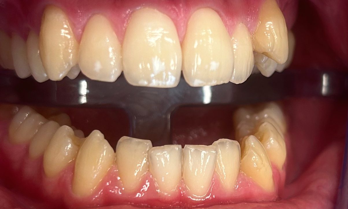
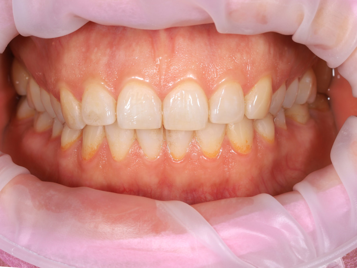
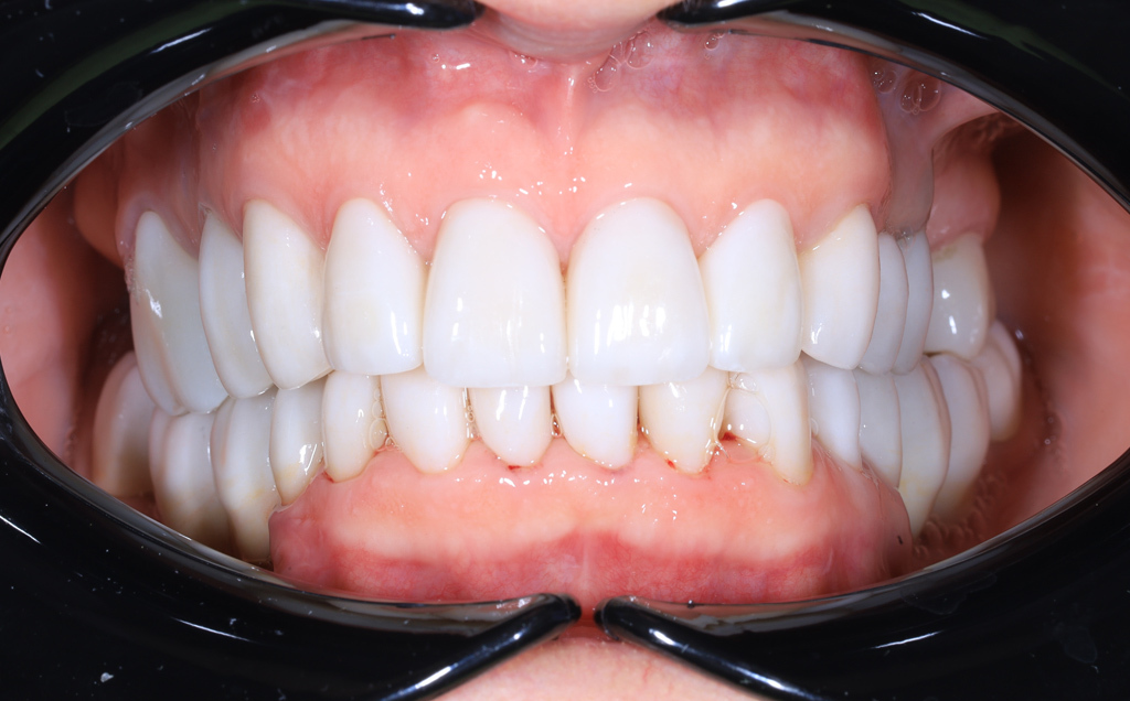
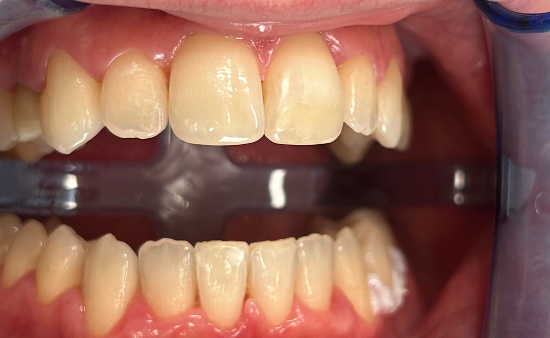
Metamorfoza uśmiechu: usunięcie przebarwień i kamienia nazębnego.
Poprawa estetyki uśmiechu: wybielanie zębów.
Usuwanie osadów i polerowanie dla zdrowego uśmiechu.
Profilaktyka i estetyka: usuwanie kamienia i wybielanie.
Leczenie biologiczne - żadna część zakażonej tkanki zęba nie dostaje się do tkanek zdrowych.